快科技2月3日消息,据媒体报道,近日,广西一名从事刮腻子工作的韦女士因左眼不慎溅入腻子粉末,引发罕见的棘阿米巴原虫感染,最终导致角膜穿孔、视力丧失。经广西医科大学第二附属医院角膜移植手术后,其眼球得以保住,目前仍在后续治疗中。2025年4月,韦女士在工作时左眼进入腻子粉末,用清水冲洗后仍感干痒。几天后症状加重,出现眼痛、怕光、流泪及视力模糊。当地医院曾按病毒性角膜炎治疗,但病情持续恶化。

广西一女子左眼剧痛眼球差点不保!医生:感染了食脑虫
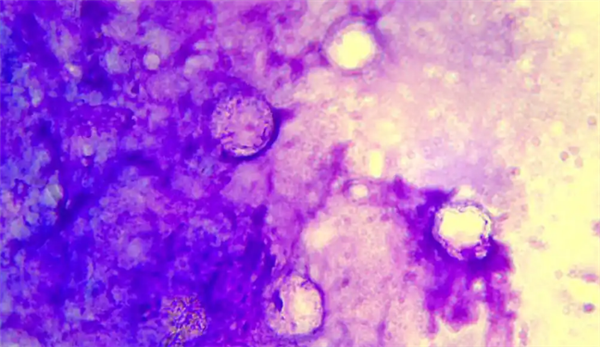
随后她转至广西医科大学第二附属医院,经角膜病专家详细检查,在角膜刮片中观察到大量棘阿米巴包囊,确诊为棘阿米巴角膜炎。棘阿米巴原虫常存在于淡水、土壤及腐败有机物中,可侵入角膜,引发剧烈眼痛、视力下降,致盲率较高,严重时可导致角膜穿孔甚至眼球不保。
该病在国内罕见,缺乏特效药物,治疗主要依靠临床经验。韦女士在接受一段时间抗感染治疗后症状曾有所缓解,但不久再次加重。鉴于感染控制困难、角膜已发生穿孔,为保住眼球,医疗团队于1月27日为韦女士实施角膜移植手术,切除已坏死感染的角膜组织。
术后其角膜穿孔得到控制,为防复发仍需持续门诊治疗。医生表示,积极配合治疗仍有望恢复部分视力。医生提醒,棘阿米巴角膜炎初期症状与一般角膜炎相似,若眼痛、畏光、流泪等症状持续3至5天无好转,应尽快到正规医院就诊。
日常生活中,佩戴隐形眼镜应注意手部清洁、及时更换护理液;从事园艺、施工、农业等可能接触粉尘、污染水源的工作时,建议佩戴护目镜,以降低感染风险。

广西一女子左眼剧痛眼球差点不保!医生:感染了食脑虫
【本文结束】出处:快科技
- 本文固定链接: https://www.4218.cn/articles/65416.html
- 转载请注明: zhiyongz 于 科技资讯 发表